セラミック治療
Ceramic
目次
01.セラミック治療の症例紹介
-
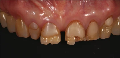
セラミック治療の症例1
S様(50歳 女性)-
Before

-
After

治療内容 右上4~6へのフルジルコニアインレー 費用等に関する総額費用 352,000円
<治療費内訳>
フルジルコニアインレー:88,000円 x 4治療期間 約2ヶ月 治療等の主なリスク むし歯が深い場合神経を取る可能性があります 副作用に関する事項 なし ■担当医からのコメント
奥歯の銀歯を白くしたいというご希望で来院されました。 当院では強度が低いセラミック(二ケイ酸リチウム、通称e-max)や、劣化しあまり長持ちしないセラミック(ハイブリッドセラミック) などはお勧めしておりませんので、ジルコニアインレーをご提案させていただきました。 金属の被せ物は、時間と共に腐食・劣化しますが、ジルコニアは劣化しませんので、非常に強度も高く長持ちするセラミック材料です。 また、ジルコニアの特徴として、表面に汚れや細菌が付着しにくいという特徴がありますので、むし歯の再発や歯周病の予防にもなります。 ぜひ、古い金属の被せ物をこの機会にジルコニアに変えませんか?
-
-
セラミック治療の症例2
S様(50歳 女性)-
Before

-
After

治療内容 メタルフリー治療 費用等に関する総額費用 836,000円
<治療費内訳>
フルジルコニアインレー:88,000円 x 8
ダイレクトボンディング:33,000円 x 4治療期間 約5ヶ月 治療等の主なリスク むし歯が深い場合神経を取る可能性があります 副作用に関する事項 なし ■担当医からのコメント
金属アレルギーの疑いがあるので、お口の中の銀歯を全部セラミックにしたいというご希望で来院された患者さんです。 いわゆるメタルフリー治療と言います。 当院では強度が低いセラミック(二ケイ酸リチウム、通称e-max)や、劣化しあまり長持ちしないセラミック(ハイブリッドセラミック) などはお勧めしておりませんので、ジルコニアインレーとダイレクトボンディングご提案させていただきました。 金属の被せ物は、時間と共に腐食・劣化し、金属イオンが溶け出し、体内に入り込みため金属アレルギーを引き起こす可能性があります。 ジルコニアは劣化しませんので、非常に強度も高く長持ちするセラミック材料で、当然アレルギーの心配もありません。 また、ジルコニアの特徴として、表面に汚れや細菌が付着しにくいという特徴がありますので、むし歯の再発や歯周病の予防にもなります。 ぜひ、古い金属の被せ物をこの機会にジルコニアに変えませんか?
-
-
セラミック治療の症例3
I様(36歳 男性)-
Before

-
After

治療内容 左上1へのフルジルコニアクラウン 費用等に関する総額費用 165,000円
<治療費内訳>
フルジルコニアクラウン(前歯):165,000円
プロビジョナル:5,500円
ファイバーコア(直接法):22,000円治療期間 約2ヶ月 治療等の主なリスク 仮歯が取れることがあります。 副作用に関する事項 なし ■担当医からのコメント
前歯の差し歯が古くなってしまったので、新しくきれいにしたいということで来院された患者さんです。 当院では強度が低いセラミック(二ケイ酸リチウム、通称e-max)や、劣化しあまり長持ちしないセラミック(ハイブリッドセラミック) などはお勧めしておりませんので、ジルコニアクラウンをご提案させていただきました。 ジルコニアは劣化しませんので、非常に強度も高く長持ちするセラミック材料で、当然アレルギーの心配もありません。 また、ジルコニアの特徴として、表面に汚れや細菌が付着しにくいという特徴がありますので、むし歯の再発や歯周病の予防にもなります。 また、当院では、審美治療において日本トップクラスの技術を誇る職人の歯科技工士さんと提携しています。 色や形についても、患者さんが納得いくまで何度でも調整が可能となっています。 ぜひ、古い差し歯をこの機会にジルコニアに変えませんか?
-
-
セラミック治療の症例4
N様(51歳 女性)-
Before

-
After

治療内容 右上1へのフルジルコニアクラウン 費用等に関する総額費用 165,000円
<治療費内訳>
フルジルコニアクラウン(前歯):165,000円
プロビジョナル(仮歯):5,500円治療期間 約2ヶ月 治療等の主なリスク 仮歯が取れることがあります。 副作用に関する事項 なし ■担当医からのコメント
前歯の差し歯が古くなってしまったので、新しくきれいにしたいということで来院された患者さんです。 当院では強度が低いセラミック(二ケイ酸リチウム、通称e-max)や、劣化しあまり長持ちしないセラミック(ハイブリッドセラミック) などはお勧めしておりませんので、ジルコニアクラウンをご提案させていただきました。 ジルコニアは劣化しませんので、非常に強度も高く長持ちするセラミック材料で、当然アレルギーの心配もありません。 また、ジルコニアの特徴として、表面に汚れや細菌が付着しにくいという特徴がありますので、むし歯の再発や歯周病の予防にもなります。 また、当院では、審美治療において日本トップクラスの技術を誇る職人の歯科技工士さんと提携しています。 色や形についても、患者さんが納得いくまで何度でも調整が可能となっています。 ぜひ、古い差し歯をこの機会にジルコニアに変えませんか?
-
-
セラミック治療の症例5
T様(64歳 男性)-
Before

-
After

治療内容 右上5~左上3へのフルジルコニアクラウン 費用等に関する総額費用 1,346,400円
<治療費内訳>
フルジルコニアクラウン(前歯):165,000円 x 8
プロビジョナル(仮歯):5,500円 x 8治療期間 約4ヶ月 治療等の主なリスク 仮歯が取れることがあります。 副作用に関する事項 なし ■担当医からのコメント
前歯の見えるところは全てきれいにしたいということで、来院された患者さんです。 当院では強度が低いセラミック(二ケイ酸リチウム、通称e-max)や、劣化しあまり長持ちしないセラミック(ハイブリッドセラミック) などはお勧めしておりませんので、ジルコニアクラウンをご提案させていただきました。 ジルコニアは劣化しませんので、非常に強度も高く長持ちするセラミック材料で、当然アレルギーの心配もありません。 また、ジルコニアの特徴として、表面に汚れや細菌が付着しにくいという特徴がありますので、むし歯の再発や歯周病の予防にもなります。 また、当院では、審美治療において日本トップクラスの技術を誇る職人の歯科技工士さんと提携しています。 色や形についても、患者さんが納得いくまで何度でも調整が可能となっています。 ぜひ、古い差し歯をこの機会にジルコニアに変えませんか?
-
-
セラミック治療の症例6
A様(57歳 女性)-
Before

-
After

治療内容 右上3~左上3へのフルジルコニアクラウン 費用等に関する総額費用 1,053,800円
<治療費内訳>
フルジルコニアクラウン(前歯):165,000円 x 6
プロビジョナル:5,500円 x 6
ファイバーコア(直接法):22,000円 x 2治療期間 約4ヶ月 治療等の主なリスク 仮歯が取れることがあります。 副作用に関する事項 なし ■担当医からのコメント
前歯の古い差し歯を全てきれいにしたいということで、来院された患者さんです。 当院では強度が低いセラミック(二ケイ酸リチウム、通称e-max)や、劣化しあまり長持ちしないセラミック(ハイブリッドセラミック) などはお勧めしておりませんので、ジルコニアクラウンをご提案させていただきました。 ジルコニアは劣化しませんので、非常に強度も高く長持ちするセラミック材料で、当然アレルギーの心配もありません。 また、ジルコニアの特徴として、表面に汚れや細菌が付着しにくいという特徴がありますので、むし歯の再発や歯周病の予防にもなります。 また、当院では、審美治療において日本トップクラスの技術を誇る職人の歯科技工士さんと提携しています。 色や形についても、患者さんが納得いくまで何度でも調整が可能となっています。 ぜひ、古い差し歯をこの機会にジルコニアに変えませんか?
-
-
セラミック治療の症例7
H様(31歳 女性)-
Before

-
After

治療内容 右上1 ラミネートベニア 費用等に関する総額費用 168,300円
<治療費内訳>
ラミネートベニア:165,000円
プロビジョナル(仮歯):5,500円 x 6治療期間 約1ヶ月 治療等の主なリスク 仮歯が取れることがあります。 副作用に関する事項 なし ■担当医からのコメント
左上の前歯の先端を何度もダイレクトボンディング修復したのですが、歯ぎしりのせいで何度もかけてしまう患者さんです。 そこで、強度のジルコニアによるラミネートベニアをご提案させていただきました。 ジルコニアは劣化しませんので、非常に強度も高く長持ちするセラミック材料です。 また、ジルコニアの特徴として、表面に汚れや細菌が付着しにくいという特徴がありますので、むし歯の再発や歯周病の予防にもなります。 また、当院では、審美治療において日本トップクラスの技術を誇る職人の歯科技工士さんと提携しています。 色や形についても、患者さんが納得いくまで何度でも調整が可能となっています。 ぜひ、古い差し歯をこの機会にジルコニアに変えませんか?
-
-
セラミック治療の症例8
M様(54歳 女性)-
Before

-
After

治療内容 右上3~左上3 費用等に関する総額費用 1,009,800円
<治療費内訳>
ラミネートベニア:165,000円 x 6
プロビジョナル(仮歯):5,500円 x 6治療期間 約1ヶ月 治療等の主なリスク 仮歯が取れることがあります。 副作用に関する事項 なし ■担当医からのコメント
前歯の見た目を改善したいということで来院された患者さんです。 ジルコニアクラウンによる修復もご提案しましたが、なるべく歯を削りたくないということで、 ラミネートベニアをご提案させていただきました。 ジルコニアは劣化しませんので、非常に強度も高く長持ちするセラミック材料です。 また、ジルコニアの特徴として、表面に汚れや細菌が付着しにくいという特徴がありますので、むし歯の再発や歯周病の予防にもなります。 また、当院では、審美治療において日本トップクラスの技術を誇る職人の歯科技工士さんと提携しています。 色や形についても、患者さんが納得いくまで何度でも調整が可能となっています。
-
02.恵比寿マルオ歯科のセラミック治療の特徴
i セラミック治療の経験が豊富
ii 保険診療と自費診療の違い

iii 最高級ジルコニア材料を採用

ジルコニアは「白い金属」と呼ばれ、優れた強度と耐久性を持ちながらも天然の葉のような自然な仕上がりになるのが大きな特徴です。
それだけでなく、ジルコニアは生体親和性が高く、金属不使用のため金属アレルギーの方でも安心してご使用いただけます。
iv 患者様からの様々なご要望に合わせた治療計画

03.当院の設備

カウンセリングルーム
当院では、患者様の個人情報が伴うご説明は、診療チェアの横ではなくプライバシーが尊重された個室のカウンセリングルームで行っております。
口腔内スキャナー
口腔内スキャナーとは写真の技術を応用し、型取りの代わりとなるスキャナーです。これにより、従来の粘土のような材料をお口の中に入れて数分間苦しい思いをしながらお待ちいただく必要はございません。これまでセラミックの型取りは、普段使用する材料よりもさらに硬いシリコン材を用いていたため、不快感だけではなく、撤去時に痛みを伴うことがありましたが、この口腔内スキャナーを用いることで歯と接触させる必要がございませんので、不快感は全くありません。 その上、従来法では5分ほど材料が固まるまで待つ必要がありましたが、この機器を用いた型取りでは約1〜2分で完了いたします。このような最新技術を用いて、患者様のご負担を可能な限り減らすよう心がけております。電動麻酔
電動麻酔とは、麻酔薬を注入する際に一定の速度でゆっくりと麻酔液を注入することができる注射器です。 麻酔時の痛みは、麻酔薬を注入するスピードや圧力のムラによることがほとんどですが、電動麻酔を使用することで痛みを軽減することが可能となりました。
一眼レフカメラ
当院では、デジタルカメラではなく一眼レフカメラを使用しています。一眼レフカメラを用いて、高画質の写真を撮影することで、患者様それぞれ微妙に違う歯の形や色の細かい部分まで再現可能となっています。
クラスB滅菌器
当院では、一般的な歯科で導入されている滅菌器に比べあらゆる種類の被滅菌物を完全に滅菌することができる最高レベルの滅菌器を導入しています。 クラスBの滅菌器を2台導入しフル稼働させ、セラミック治療の際に使用する器具すべてを患者様ごとに交換し滅菌を行う、もしくは使い捨て(ディスポーザル)の器材を使用して治療にあたっています。 当院では、「スタッフの家族に胸を張って紹介できる環境」を目指し、すべての患者様に対して常に清潔な環境で安心・安全な治療を行っています。04.初診時〜治療開始までの検査

お口全体の検査
初心時には患者様の主訴の部分のみでなく、徹底したお口全体の検査を行ったうえで適切な診断を行い、口腔全体を考慮した精密な治療をご提供します。
使用素材の特徴、保険診療との違い等のご説明
保険内治療と自費治療では、取り扱う素材が違っており、精密性や適合性も異なります。そのため、ご納得いただいた上で治療を受けていただくためにも保険内治療と自費治療のメリット・デメリットを担当医より患者様へわかりやすく丁寧にご説明いたします。
お見積もりと治療期間のご説明
セラミック治療は高額な治療となりますので、費用がどれくらい必要となるのか治療を開始する前にお見積もりを書面にて発行し、その際に大体の治療期間についてもご説明させていただいております。おおよその治療期間としてはご自身の歯をセラミッククラウンに変える場合は約1ヶ月、古い被せ物を外し、根の治療もおこなわない場合は約1.5ヶ月、古い被せ物を外し、根の治療をおこなう場合は約3ヶ月となっております。インフォームドコンセントの徹底
精密に検査を行い、患者様とご相談しながら最良な治療方針を立案いたします。治療方針が決まりましたらお見積もりをお渡しし、患者様のご納得をいただいたうえで治療を開始いたします。いきなり歯を削られてしまう等のことは一切ありませんのでご安心ください。
05.治療時

痛みが少ない治療
当院では可能な限り、無痛治療(痛みの少ない治療)を行なっております。そのため、治療の際は麻酔を行います。麻酔は痛くて苦手・怖いといったイメージをお持ちの方もいらっしゃるかもしれませんが、可能な限り痛みを抑えるよう十分に配慮をしています。麻酔の注射をする際のチクッとした痛みを軽減するために、表面麻酔を併用して痛みを軽減する取り組みも行っています。麻酔を打つ際には、痛みがないか必ず患者様に確認をしながら麻酔を行なっていきます。麻酔がしっかり効けば、治療時の痛みはありません。可能な限り神経を残し歯を削りすぎない取り組み
一度削った歯は再生はせず、二度と元には戻りません。歯を削る量が多かったり、歯の神経を取ったりすることによって歯の寿命が縮まります。当院では、歯を削りすぎないように虫歯を判別する簡蝕検知液を使用し、視野を拡大できる高倍率のルーペで虫歯の取り残しがないか、細かいところまでチェックし治療を行なっています。虫歯が深く神経に近い場合は、スプーンエキスカベーターという、手用で虫歯を取る器具で少しずつ虫歯をとります。また、歯の神経を保存するためのMTAセメントも取り扱っています。虫歯が深く神経が露出し、神経を取らなければいけない場合でも、MTAセメントを使用することで歯の神経を温存することができる可能がとても高くなります。

患者様それぞれの歯にあった
ベストなデザインの構築
歯は削れば削るほど、治療をすればするほど歯の寿命は縮まってしまいます。歯を削る量を最小限にし、歯や被せ物が長期的に長持ちするような形をデザインして削っていきます。

壊れにくい設計をデザイン
保険内治療、保険外治療、共通して取り扱う材料によって、歯の削り方や削る量、材料の厚みの取り方などが変わってきます。全体的なお口の中のバランスや噛み合わせ等も考慮し、壊れにくい設計をデザインします。

歯科技工士との綿密な連携
一眼レフカメラで高画質の写真を撮影し、患者様ごとに微妙に違う歯の形や色の細かい部分のニュアンスまで全て歯科技工士に伝えることで理想的な形態で精度にこだわった補綴物をご提供することが可能となります。
仮歯の作成
歯を削ったあとには、仮歯を必ず作製します。仮歯には、神経のある歯に対して刺激が伝わらないようにする、隣の歯が移動しないようにする。歯肉の位置を変えないようにする、噛み合わせに支障をきたさない、審美性を保つ、最終的にできてくる被せ物の形の確認ができる等の役割があります。また、前歯の審美領域のセラミックに関しては、患者様のご希望の歯の形になるよう納得いくまで調整を行い最終的な被せ物のイメージを仮歯で再現いたします。患者様が納得のいく仮歯が完成したタイミングで最終的な被せ物を作製していきます。

最先端の医療機器を使用した型取り
従来の粘土のような材料を使用した歯の型取りは不快であったり、苦手だったりする方がいらっしゃると思います。当院では、口腔内スキャナという写真の技術を応用し、型取りに代わりとなる最新スキャナーを導入しています。不快感は全くなく、この機器を使用することですべての型取りが1~2分程で終わります。当院では、最新かつ最も精度が高いと言われる3Shape社製(デンマーク)のTRIOS3を導入し、精密かつ高品質なセミラックを提供しております。

圧排糸の使用
セラミックの型取りを行う前に、圧排糸という糸を歯と歯茎の隙間にいれます。これを行うことで、歯と歯茎の境目まで精密な型取りを行うことが可能になり、より精密で適合性の良いセラミックを作製することが可能となります。ピッタリとフィットしたセラミックを作ることで、むし歯にもなりにくく、長持ちする被せものを作ることができます。圧排糸を巻くことは、精密な被せものを作るためには不可欠な処置となります。手間も時間もかかるため、これを行わない歯科医院もありますが、当院では患者様には良質な治療をご提供するために必要な場合には必ず圧排糸を巻いております。
06.アフターフォロー
i メンテナンスの必要性
ii 保証期間について

07.治療費
i ダイレクトボンディング治療
(レジンという白い材料を
直接詰める治療)
| 奥歯の歯と歯の間 | 16,500円〜 |
|---|---|
| 奥歯の噛み合わせの部分 | 16,500円〜 |
| 前歯の歯と歯の間 | 16,500円〜 |
| ダイレクトベニア(前歯に直接歯の形を作る方法) | 55,000円 |
ii セラミック治療
| プロビジョナル(仮歯) | 1本につき 5,500円 |
|---|
| セラミックインレー・アンレー(部分的なセラミックの詰め物) | プレミアムジルコニア 88,000円 |
|---|
| セラミッククラウン(全体的なセラミックの被せ物) | プレミアムジルコニア 臼歯 132,000円 前歯165,000円 |
|---|
| ラミネートベニア(歯の表面だけを審美的に改善するセラミック治療) | 165,000円 |
|---|
| ファイバーコア (根管治療の後に、ファイバーで補強した材料で土台を立てる方法) |
22,000円 |
|---|



