ラミネートベニア
Laminate veneer
「歯を白くしたいけど、たくさん削るのは嫌だ!」
そんな方におすすめなのが「ラミネートベニア」です
そんな方におすすめなのが「ラミネートベニア」です

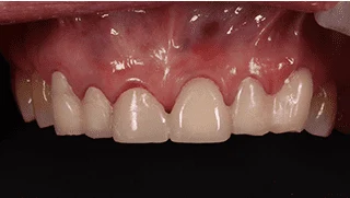
もし神経が死んでしまって前歯1本だけが変色してしまったり、以前に詰めた白い材料が変色してしまい、歯がバラバラに見える場合には、ラミネートベニアがおすすめです。この治療法では、歯の外側の表面を薄く削り、付け爪のような薄いセラミックを貼り付けます。
歯全体を削るセラミッククラウンに比べて、ラミネートベニアは歯を少なく削る治療法です。セラミッククラウンに抵抗感を感じる方は、ぜひ一度ご相談ください。
歯全体を削るセラミッククラウンに比べて、ラミネートベニアは歯を少なく削る治療法です。セラミッククラウンに抵抗感を感じる方は、ぜひ一度ご相談ください。
目次
01.ラミネートベニアについて
i ラミネートベニアとは
ii ラミネートベニアが適している方
「ラミネートベニア」は、以下のような方におすすめです。
- 過去に神経を取り、歯が変色している場合
- むし歯で白い材料で詰めて直したが色が変色している場合
- 歯の並びが悪く、改善したい場合
- 歯と歯の間に隙間があいている「すきっ歯」の場合
- 歯の形を美しくしたい場合
- 歯の捻転(ねじれ)を改善したい場合
iii ラミネートベニアのリスク
■エナメル質が薄い方は、歯がしみやすくなることがあります。
■強力な接着剤で取り付けますが、ごくまれにセット後に取れることがあります。
02.ラミネートベニア治療の流れ
-
1回目の
来院時の処置-
①現状の評価をおこない、治療のゴールを確認します。

-
②あらかじめ仮歯を製作するため、型取りを行います。
-
-
2回目の
来院時の処置-
①形態を整えます。

-
②麻酔をし、歯と歯ぐきの間に圧排糸を挿入したうえで、口腔内スキャナによる型取りを行います。

-
③仮歯を装着します。

-
-
3回目の
来院時の処置ラミネートベニアを接着し終了となります。
-
メンテナンス
3ヶ月に1度のメンテナンスを推奨しております。
03.ラミネートベニアの治療期間
1.5ヶ月
04.ラミネートベニアの治療費用
| 治療費用 | 約165,000円 |
|---|
- ※価格はすべて税込です
- ※上記費用には、仮歯・デジタル印象・試適・装着の費用が含まれます
- ※上記とは別途、再診料が必要となります
- ※古い被せ物の除去、根の治療、土台の作製が必要な場合は別途費用が発生いたします
06.恵比寿マルオ歯科の
ラミネートベニアの特徴
- 必ず仮歯を作製し、見た目に問題がないように最善を尽くしています。
- 型取りの際には、圧排糸という糸を歯と歯ぐきの間に入れることで、精密な型取りが可能です。
- 口腔内スキャナを使用することで、型取りの不快感を軽減できるようになりました。
- 当院はメタルフリーを目指し、自由診療で金属を使わないため、金属アレルギーや金属の腐食による悪影響のリスクをほぼゼロにしています。
- 技工所と提携しており、見た目と機能の両面で患者さまに満足いただけるセラミッククラウンを提供しています。








