ジルコニアクラウン・
ジルコニアインレー
Zirconia

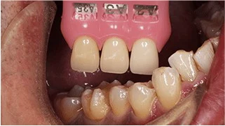
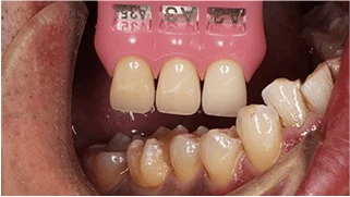
奥歯に小さな虫歯がある場合、直接コンポジットレジンという材料で詰める治療が可能です。しかし、虫歯が大きい場合は強度の問題から、詰め物(インレー)や被せ物(クラウン)で修復する必要があります。当院では、審美治療においてトップクラスの技工士と提携し、高い精度や美しい見た目、長期間の安定性を持つプレミアムジルコニアインレーとプレミアムジルコニアクラウンを提供しています。
ジルコニアは劣化しないため、非常に強く耐久性があり、長く使えるセラミック材料です。また、ジルコニアはアレルギーの心配もなく、特に表面に汚れや細菌が付着しにくい特徴があります。そのため、むし歯の再発や歯周病の予防にも効果的です。
目次
01.インレーとクラウンの違い
むし歯が広がってしまった場合、通常の白い詰め物(コンポジットレジン)だけでは十分な強度が得られず、形を整えて型を取ってから金属やセラミックで修復する方法(間接修復)がおすすめされます。この場合、歯の一部を保存して修復するのが「インレー(つめもの)」であり、歯全体を削って修復するのが「クラウン(かぶせもの)」です。
どちらを選ぶかは、健全な歯の部分がどれだけ残っているかによって歯科医師が判断します。健全な部分が多い場合、インレーが選ばれることがあります。しかし、健全な部分が少ない場合、インレーを選ぶと歯が欠けるリスクがあるため、クラウンが選ばれることがあります。また、大きなむし歯で神経を取らなければならない場合は、神経を取った後に歯がもろくなりやすいため、通常はクラウンで修復するのが一般的です。
| 種類 | イメージ | 修復の方法 | 適応 |
|---|---|---|---|
| インレー | ![]() |
部分的につめて修復 | 健全な歯が多く残っている場合 |
| クラウン | ![]() |
全体的にかぶせて修復 | 健全な歯が残っていない・ 強度的に不安な場合 |
02.材料の特徴と適応 フルジルコニアとは
プレミアムジルコニア
(自由診療となります)

ジルコニアは比較的新しい材料で、ジルコニウムという金属を酸化させて酸化ジルコニウムにイットリアなどを加え、安定させたものです。歯科治療で使われています。この材料はブロックから削り出し、焼結して作成されるため、従来のセラミックよりも強度が高く、金属と同じくらいの硬さがあります。セラミックの表面に色をつけることで、見た目も美しく、奥歯のインレーやクラウンに適しています。
当院では、日本でもトップクラスの技工所と協力し、強度と審美性に優れたプレミアムジルコニアインレー・クラウンを提供しています。また、当院のプレミアムジルコニアには5年間の保証が付いています。
03.治療の流れ
-
むし歯の除去
神経が生きている歯の場合、麻酔をしてむし歯や古い金属を除去します。
-
裏層
むし歯で削った部分をレジンで埋め立てます -
形成
インレーまたはクラウンのために形を整え削ります。
(むし歯が深い場合にはここで仮づめをして様子をみることがあります。)
-
デジタル印象
麻酔をし歯と歯ぐきの間に圧排糸を挿入し、最新の口腔内スキャナを用いて型取りを行います。口腔内スキャナを使用することで患者さまに従来のような型取り時の不快感を与えることなく型取りを行うことが可能となっております。 口腔内スキャナで得られたデータは直接技工所に送られ、コンピュータ上でデザインされ、機械によってセラミックブロックから削り出し加工されるため、非常に精度が高いインレー・クラウンが製作されます。 -
シェードテイク
歯の色を記録するための写真を撮影します。
-
仮封
仮のふたまたは仮歯を装着し、この日の治療は終了となります。 -
完成
2回目の来院時にジルコニアインレー・ジルコニアクラウンを装着します。
-
メンテナンス
3ヶ月に1度のメンテナンスを推奨しております。
04.治療期間
来院回数:2~3回
治療期間:約2週間~1ヶ月
05.基本的な治療費用
■セラミックインレー・アンレー(部分的なセラミックの詰め物)| プレミアムジルコニア | 88,000円 |
|---|
| プレミアムジルコニア | 臼歯 132,000円 前歯 165,000円 |
|---|
※上記とは別途、再診料が必要となります
※古い被せ物の除去、根の治療、土台の作製が必要な場合には別途費用が発生いたします
06.付加的な治療オプションと費用
| i むし歯の除去 | 保険適用範囲内 |
|---|---|
| ii 古い被せ物の除去 | 保険適用範囲内 |
|
iii 根の治療のやり直し ※麻酔、隔壁、ラバーダム、トライオートによる根管治療、MTA含有の根管充填、料金がすべて含まれます ※1年間の治療保証が含まれます |
前歯: 66,000円 小臼歯: 88,000円 大臼歯: 110,000円 |
| iv土台(ファイバーポスト)のみのやり直し | 22,000円 |
| v 仮歯 | 5,500円 |
07.恵比寿マルオ歯科での治療の特徴
- 必ず仮歯を作製し、見た目に支障をきたすようなことがないよう、最大限努めます。
- 可能な限り神経を残すことができるような治療を心がけております。
- 型取りの際に、圧排糸と呼ばれる糸を歯と歯ぐきの間に挿入することで、できるだけ精密な型取りを目指します。
- 最先端の口腔内スキャナを取りいれることで、型取りの不快感なくすことが可能となりました。
- 当院ではメタルフリーを目指しており、自由診療における材料に金属を使用しないため、金属アレルギーや金属の腐食による身体への悪影響のリスクを限りなくゼロにしています。
- 世界最高峰レベルの技工所と提携しているため、見た目も機能も必ず患者さまにご満足していただけるセラミッククラウンを提供しています。
- フルジルコニアによるセラミック修復には5年間の保証を設けております。





